2017년 대구경북 골절치료연구회 굳센병원 백승길원장님 발표
페이지 정보
작성자굳센병원
본문
굳센병원 백승길 원장님
2017년 대구 경북 골절치료 연구회 구연발표
굳센병원의 백승길 원장님께서 2017년 대구 경북 골절치료 연구회에서
4차례 구연 발표를 하셨습니다.
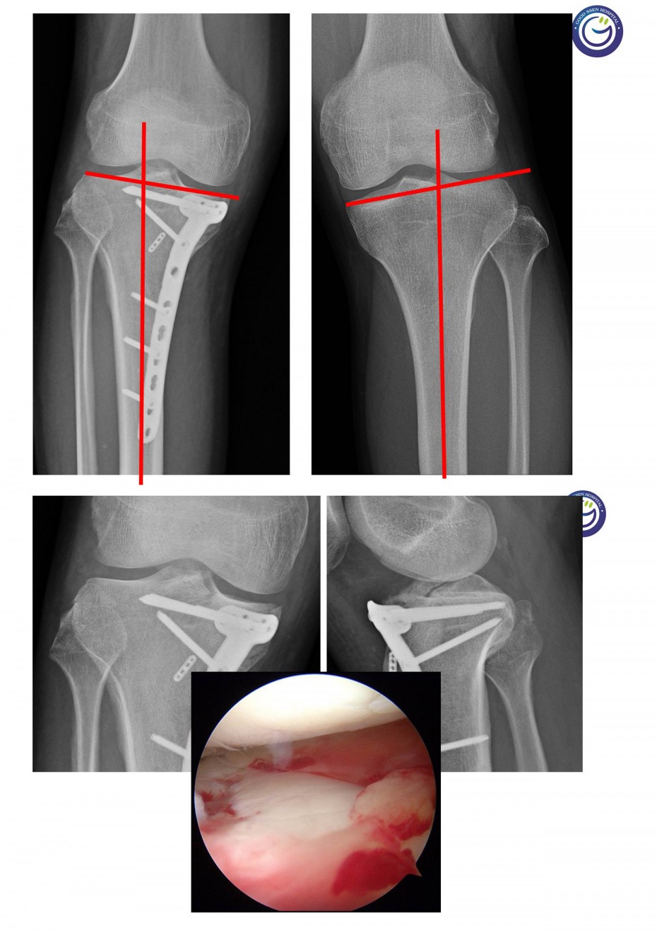
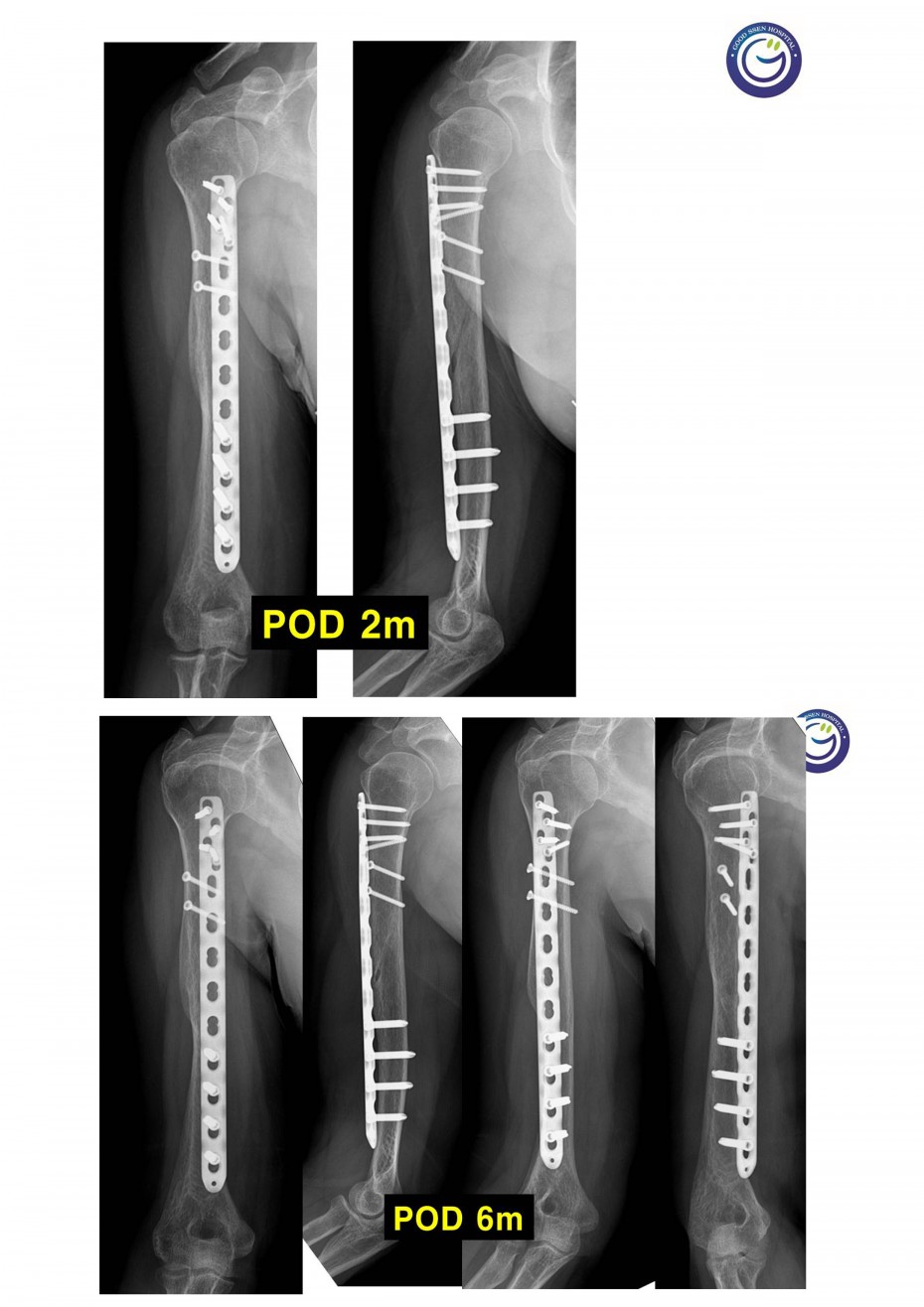
정형외과 골절수술 분야에서 전문의 선생님들이 가장 어렵게 여기는
관절을 침범하는 심한 분쇄골절
절개없이 고정하는 최소침습적 고정방법 (MIPO)
성장판을 침범하는 소아의 성장판 골절
에 대하여 본원의 많은 수술 증례와 경험을 통하여 발표 하셨으며,
여러 대학병원 골절 외상전문 교수님들과의 토론과 의견교환이 있었습니다.
외상,골절 환자는 어느때나 불의의 사고로 발생 할 수 있고
적절한 치료가 이루어지지 않으면
평생의 후유증을 동반하는 만큼
저희 굳센병원은 골절,외상 환자들분들이
적절한 최상의 치료를 받을 수 있도록 연구와 노력을 게을리 하지 않겠습니다.







